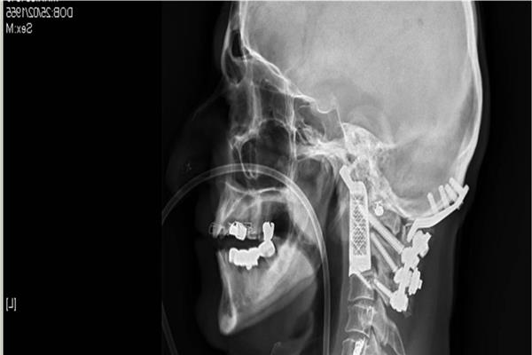
悉尼威爾士親王醫院的神經外科醫生,成功完成一例高難度的頸椎植入物手術。 患者的兩節頸椎由于受到腫瘤的影像需要被摘除,并更換為3D打印植入物。由于在手術中,醫生需要首先將病人的顱骨與脊髓組織分離,然后再通過植入物將他們重新連接起來。整個手術過程幾乎等于先將患者的頭部和身體分開,然后再連接上,手術風險可想而知。

面對一臺風險如此高的手術,醫生進行了周密的手術預規劃。***終確定的手術方案是從病人嘴部進入,切除腫瘤以及頭頸部的兩節脊椎,隨后植入鈦金屬3D打印脊椎。3D打印脊椎植入物是根據病人的身體和手術切除方案進行設計的,與進行過腫瘤和脊椎切除后的部位可以進行完美的匹配。者在術后的2個月中恢復順利。目前,他的脖子已經可以活動,再經過幾個月的恢復,飲食和語言功能也將逐漸恢復。
根據患者病情和醫生手術方案進行定制化設計的植入物,是此類手術成功的重要因素。這例手術中的脊椎植入物內部具有經過力學優化設計的晶格結構。金屬3D打印可以直接制造出這樣的復雜結構,并且在生產單件產品的成本方面也比傳統方式更低。

金屬3D打印技術在個性化的骨科植入物領域誕生了眾多成功案例,從***初Layerwise 公司打印的鈦合金下頜骨,到西安鉑力特打印的鈦合金胸骨……. 金屬3D打印技術已逐漸成為個性化醫療領域中的重要角色。